WHITENING CASE
ホワイトニング
症例
ホワイトニング症例
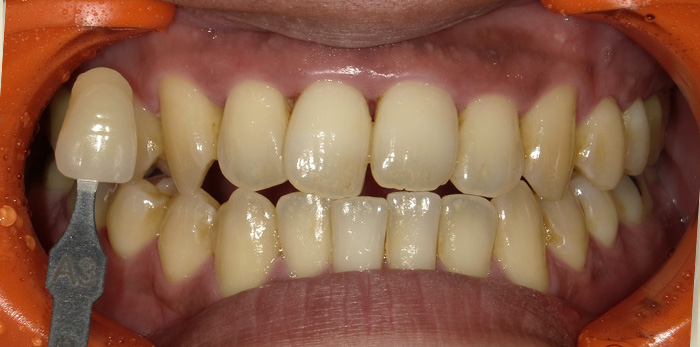
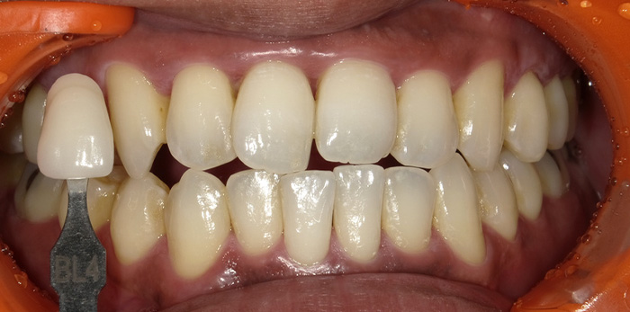
CASE.1 20代女性
治療前
治療後
| 主訴 | 結婚式のために歯を白くしたい |
|---|---|
| 治療期間 | 約2ヵ月 |
| 治療費 | 95,000円 |
| 治療内容 | ホワイトニング2ヵ月コース:オフィスホワイトニング4回・ホームホワイトニング(薬剤×8本)・NBトゥースペースト ホワイトニング後に、前歯の詰め物の色が合わなくなった部分をやりかえています。 |
CASE.2 20代男性
治療前
治療後
| 主訴 | 友人の結婚式に参加するので、身だしなみのために歯を白くしたい |
|---|---|
| 治療期間 | 1回 (90分) |
| 治療費 | 30,000円 |
| 治療内容 | スペシャルホワイトニング (オフィスホワイトニング15分×3) |
CASE.3 20代男性
治療前
治療後
| 主訴 | 黄ばみが気になるので、ホワイトニングをしたい |
|---|---|
| 治療期間 | 約1ヵ月 |
| 治療費 | 60,000円 |
| 治療内容 | ホワイトニング1ヵ月コース:オフィスホワイトニング2回・ホームホワイトニング(薬剤×4本)・ NBトゥースペースト |
CASE.4 20代男性
治療前
治療後
| 主訴 | 全体の黄ばみが気になるので、ホワイトニングで歯を白くしたい |
|---|---|
| 治療期間 | 約2ヵ月 |
| 治療費 | 95,000円 |
| 治療内容 | ホワイトニング2ヵ月コース:オフィスホワイトニング4回・ホームホワイトニング(薬剤×8本)・ NBトゥースペースト |
CASE.5 40代男性
治療前
治療後
| 主訴 | クリーニングをしたい、ホワイトニングにも少し興味がある |
|---|---|
| 治療期間 | 約3ヵ月 |
| 治療費 | 35,000円 |
| 治療内容 | ホームホワイトニング(薬剤×4本) |
CASE.6 80代女性
治療前
治療後
| 主訴 | 黄ばみが気になるので、歯を白くしたい |
|---|---|
| 治療期間 | 約1ヵ月 |
| 治療費 | 35,000円 |
| 治療内容 | ホームホワイトニング(薬剤×4本) ホワイトニング後に、前歯の詰め物の色が合わなくなった部分をやりかえています。 |
治療のリスク
● ホワイトニング剤での反応には、効果および痛み(知覚過敏)の有無には個人差があります。
● ホワイトニングが行えるのは、歯の歯根形成がしっかりし永久歯が生え揃った16歳以上が目安です。当院では高校生から可能です。未成年の場合は保護者の同意が必要です。
● 妊娠中・授乳中の方はホワイトニングは行えません。
● 無カタラーゼ症の方は、ホワイトニングは行えません。
● 光線過敏症の方は光照射が必要なオフィスホワイトニングは行えません。ホームホワイトニングは可能です。
● フェイシャルレーザーなどの治療後は、4週間あければオフィスホワイトニングが可能です。(かかりつけ医に相談の上)
● 嘔吐反射や呼吸器疾患がある場合、オフィスホワイトニングによってその症状が誘発される場合があります。
● 嘔吐反射がある方は、マウスピースを使うホームホワイトニングが難しい場合もあります。歯面清掃や開咬器(口を開けるための道具)が耐えられる方は、オフィスホワイトニングは可能です。
● 呼吸器疾患のある方は、薬液からでる微量のガスにより、喘息などの発作を引き起こす可能性があります。ホワイトニングをされる場合は、医科の先生に相談の上施術されることをお勧めします。
● 治療した歯(差し歯・神経のない歯・詰め物をした歯など)は効果が出ません。
● 歯のすりへり・亀裂のある方や、普段から知覚過敏のある方は痛みが出やすいです。
● 歯の先端の方が比較的効果が出やすく、根元は白くなりにくいです。
● 歯の表面のライン(しま模様)や白点などは消失しません。
● ホワイトニング剤が歯肉に及んだ場合、歯肉が漂白されることがありますが、数時間~数日で自然治癒します。続けてホワイトニングされる方は、歯肉の治癒直後からの再開となります。
● ホワイトニング期間終了後に、少しずつ歯の色が元に近づく「後戻り」があります。白さをキープするには、タッチアップが必要です。



